Nashville School Shooting
-
{
- All
- News
- Videos
-
Family Flees Guatemala Violence, Daughter Gets Killed In US School Shooting
- Thursday February 6, 2025
- World News | Edited by NDTV News Desk
A family that fled violence in Guatemala for a safer life in the United States is now grieving the loss of their daughter. Sixteen-year-old Josselin Corea Escalante was shot and killed at her high school in Nashville, a report said.
-
www.ndtv.com
-
17-Year-Old Kills Student, Then Shoots Himself At Nashville School In US
- Thursday January 23, 2025
- World News | Reuters
A teenage boy on Wednesday opened fire inside a Tennessee high school, killing one student and wounding another before taking his own life, police said.
-
www.ndtv.com
-
Nashville School Shooter's Alleged Writings With Hateful Messages Surface Online
- Wednesday November 8, 2023
- World News | Edited by Ritu Singh
The shooter was identified as Audrey Hale, a 28-year-old Nashville resident and a former student of the same school, who identified as transgender.
-
www.ndtv.com
-
US Congressman Clay Higgins Claims There's "No Such Thing As Gun Violence"
- Thursday March 30, 2023
- World News | Edited by Amit Chaturvedi
The debate around gun violence is again in focus after a rampage on Monday at Nashville's Covenant School that left three children and three adults dead.
-
www.ndtv.com
-
Twitter Restricts US Lawmaker's Account Over School Shooting Post
- Wednesday March 29, 2023
- World News | Agence France-Presse
Twitter has temporarily restricted Marjorie Taylor Greene's congressional account after the US lawmaker tweeted a graphic that referred to a "Trans Day of Vengeance" following the school shooting in Nashville.
-
www.ndtv.com
-
After Mass Shooting In US School, Republican Senator Offers Bizarre Solution
- Wednesday March 29, 2023
- World News | Edited by Abhimanyu Kulkarni
The debate for gun control in the US has picked up steam after six people were killed in a shooting at an elementary school in Nashville.
-
www.ndtv.com
-
US School Shooter Bought 7 Weapons Legally, Used 3 To Kill Six
- Wednesday March 29, 2023
- World News | Edited by Supriti David
28-year-old Audrey Hale, who shot dead six people at Nashville's Covenant School, had bought seven weapons legally and used three of them in the horrific tragedy on Monday.
-
www.ndtv.com
-
US Shooter Identified As Trans, Resented Going To Christian School: Cops
- Tuesday March 28, 2023
- World News | Reuters
Metro Nashville Police Chief John Drake said Hale had a detailed, hand-drawn map of the school showing various entry points, Drake said. Hale was armed with two assault-style weapons, one of them a rifle, as well as a 9mm pistol, authorities said.
-
www.ndtv.com
-
"Stop Moving": Body Cam Video Shows How US Cops Took Down School Shooter
- Tuesday March 28, 2023
- World News | Edited by Supriti David
An unnerving chase through school halls as sirens of varying decibels blared in the background ended under a large cathedral-like window at Nashville's Covenant School on Monday.
-
www.ndtv.com
-
Terrifying Video Shows Nashville School Shooter Blasting Front Doors, Casually Stalking Hallways
- Tuesday March 28, 2023
- World News | Edited by Anjali Thakur
The video was released on Monday by the Metro Nashville Police Department.
-
www.ndtv.com
-
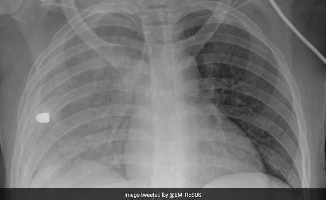
This X-Ray Scan Shows The Leading Cause Of Death In US Children
- Tuesday March 28, 2023
- World News | Edited by Supriti David
A US emergency room doctor's Twitter post about the leading cause of death among American children has gone viral. The post: an X-Ray scan of a bullet lodged in a child's chest.
-
www.ndtv.com
-
Ex Student Of Targeted School, No Criminal Record: 5 Facts On US Shooter
- Tuesday March 28, 2023
- World News | Edited by Samiran Mishra
Three children and three members of staff were killed after a former student opened fire at a school in the US city of Nashville on Monday.
-
www.ndtv.com
-
US President Joe Biden Makes Bizarre Ice Cream Joke Before First Statement On US School Shooting
- Tuesday March 28, 2023
- World News | Edited by Ritu Singh
Mr Biden joked that he only made a public appearance because he heard there would be ice cream before discussing the Nashville tragedy.
-
www.ndtv.com
-
"It's Just Sick": US President Joe Biden On Nashville School Shooting
- Tuesday March 28, 2023
- World News | Asian News International
US President Joe Biden on Monday (local time) termed the school shooting at Nashville which claimed the lives of six people as "sick" and said that the US has to do more about gun violence and stressed that "it's ripping the soul of this nation."
-
www.ndtv.com
-
US School Shooting: Attacker Believed To Be Ex-Student, Say Police
- Tuesday March 28, 2023
- World News | Agence France-Presse
The female shooter who killed three children and three adults Monday at a private school in Nashville is believed to have once been a student at the facility, city police said.
-
www.ndtv.com
-
Family Flees Guatemala Violence, Daughter Gets Killed In US School Shooting
- Thursday February 6, 2025
- World News | Edited by NDTV News Desk
A family that fled violence in Guatemala for a safer life in the United States is now grieving the loss of their daughter. Sixteen-year-old Josselin Corea Escalante was shot and killed at her high school in Nashville, a report said.
-
www.ndtv.com
-
17-Year-Old Kills Student, Then Shoots Himself At Nashville School In US
- Thursday January 23, 2025
- World News | Reuters
A teenage boy on Wednesday opened fire inside a Tennessee high school, killing one student and wounding another before taking his own life, police said.
-
www.ndtv.com
-
Nashville School Shooter's Alleged Writings With Hateful Messages Surface Online
- Wednesday November 8, 2023
- World News | Edited by Ritu Singh
The shooter was identified as Audrey Hale, a 28-year-old Nashville resident and a former student of the same school, who identified as transgender.
-
www.ndtv.com
-
US Congressman Clay Higgins Claims There's "No Such Thing As Gun Violence"
- Thursday March 30, 2023
- World News | Edited by Amit Chaturvedi
The debate around gun violence is again in focus after a rampage on Monday at Nashville's Covenant School that left three children and three adults dead.
-
www.ndtv.com
-
Twitter Restricts US Lawmaker's Account Over School Shooting Post
- Wednesday March 29, 2023
- World News | Agence France-Presse
Twitter has temporarily restricted Marjorie Taylor Greene's congressional account after the US lawmaker tweeted a graphic that referred to a "Trans Day of Vengeance" following the school shooting in Nashville.
-
www.ndtv.com
-
After Mass Shooting In US School, Republican Senator Offers Bizarre Solution
- Wednesday March 29, 2023
- World News | Edited by Abhimanyu Kulkarni
The debate for gun control in the US has picked up steam after six people were killed in a shooting at an elementary school in Nashville.
-
www.ndtv.com
-
US School Shooter Bought 7 Weapons Legally, Used 3 To Kill Six
- Wednesday March 29, 2023
- World News | Edited by Supriti David
28-year-old Audrey Hale, who shot dead six people at Nashville's Covenant School, had bought seven weapons legally and used three of them in the horrific tragedy on Monday.
-
www.ndtv.com
-
US Shooter Identified As Trans, Resented Going To Christian School: Cops
- Tuesday March 28, 2023
- World News | Reuters
Metro Nashville Police Chief John Drake said Hale had a detailed, hand-drawn map of the school showing various entry points, Drake said. Hale was armed with two assault-style weapons, one of them a rifle, as well as a 9mm pistol, authorities said.
-
www.ndtv.com
-
"Stop Moving": Body Cam Video Shows How US Cops Took Down School Shooter
- Tuesday March 28, 2023
- World News | Edited by Supriti David
An unnerving chase through school halls as sirens of varying decibels blared in the background ended under a large cathedral-like window at Nashville's Covenant School on Monday.
-
www.ndtv.com
-
Terrifying Video Shows Nashville School Shooter Blasting Front Doors, Casually Stalking Hallways
- Tuesday March 28, 2023
- World News | Edited by Anjali Thakur
The video was released on Monday by the Metro Nashville Police Department.
-
www.ndtv.com
-
This X-Ray Scan Shows The Leading Cause Of Death In US Children
- Tuesday March 28, 2023
- World News | Edited by Supriti David
A US emergency room doctor's Twitter post about the leading cause of death among American children has gone viral. The post: an X-Ray scan of a bullet lodged in a child's chest.
-
www.ndtv.com
-
Ex Student Of Targeted School, No Criminal Record: 5 Facts On US Shooter
- Tuesday March 28, 2023
- World News | Edited by Samiran Mishra
Three children and three members of staff were killed after a former student opened fire at a school in the US city of Nashville on Monday.
-
www.ndtv.com
-
US President Joe Biden Makes Bizarre Ice Cream Joke Before First Statement On US School Shooting
- Tuesday March 28, 2023
- World News | Edited by Ritu Singh
Mr Biden joked that he only made a public appearance because he heard there would be ice cream before discussing the Nashville tragedy.
-
www.ndtv.com
-
"It's Just Sick": US President Joe Biden On Nashville School Shooting
- Tuesday March 28, 2023
- World News | Asian News International
US President Joe Biden on Monday (local time) termed the school shooting at Nashville which claimed the lives of six people as "sick" and said that the US has to do more about gun violence and stressed that "it's ripping the soul of this nation."
-
www.ndtv.com
-
US School Shooting: Attacker Believed To Be Ex-Student, Say Police
- Tuesday March 28, 2023
- World News | Agence France-Presse
The female shooter who killed three children and three adults Monday at a private school in Nashville is believed to have once been a student at the facility, city police said.
-
www.ndtv.com