Zika Virus Birth Defects
- All
- News
-
Zika Strain Linked To Birth Defect Not Found in Jaipur: Health Ministry
- Saturday November 3, 2018
- India News | Press Trust of India
An analysis of Zika virus strains collected from Jaipur has suggested that they do not have the known mutations linked to fetal microcephaly, a serious birth defect in newborns delivered by infected mothers, according to the Health Ministry.
-
www.ndtv.com
-
Thailand Considers Zika Tests For All Pregnant Women
- Monday October 3, 2016
- World News | Reuters
Thailand is considering testing all pregnant women for Zika, the health ministry said on Monday, following confirmation last week of its first known cases of microcephaly, a birth defect marked by small head size, linked to the Zika virus.
-
www.ndtv.com
-
Florida Expands Zika Zone In Miami Beach After 5 New Cases
- Saturday September 17, 2016
- Health | Reuters
State officials in Florida on Friday tripled the active Zika transmission zone in the trendy seaside community of Miami Beach after five new cases of the mosquito-borne virus believed to cause a severe birth defect were identified in the area.
-
www.ndtv.com
-
Tapeworm Drug Could Cure Zika Virus Infection
- Tuesday August 30, 2016
- Health | Indo-Asian News Service
Researchers have found some existing drug compounds -- including one already used as a treatment for tapeworm infection in humans -- that have the potential to both stop Zika from replicating in the body and from damaging the crucial fetal brain cells that lead to birth defects in newborns.
-
www.ndtv.com
-
Singapore Confirms First Case Of Locally Transmitted Zika Virus
- Sunday August 28, 2016
- Health | Reuters
Singapore has confirmed its first case of a locally-transmitted Zika virus, which has been linked to microcephaly, a rare birth defect, in Brazil, the health ministry said.
-
www.ndtv.com
-
All Donated Blood Should Be Tested For Zika Virus, Urges US
- Friday August 26, 2016
- World News | Agence France-Presse
All donated blood should undergo tests for the Zika virus, which can cause birth defects, US regulators said today, amid a mounting outbreak of the mosquito-borne virus in the United States.
-
www.ndtv.com
-
Study Shows Extent Of Brain Damage From Zika Infections
- Wednesday August 24, 2016
- World News | Reuters
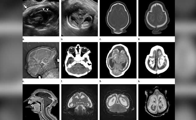
A report released on Tuesday shows in graphic detail the kind of damage Zika infections can do to the developing brain - damage that goes well beyond the devastating birth defect known as microcephaly, in which the baby's head is smaller than normal.
-
www.ndtv.com
-
Five New Zika Cases In Tourist Hotspot Miami Beach
- Saturday August 20, 2016
- World News | Agence France-Presse
Five new cases of Zika have been found in tourist hotspot Miami Beach, signaling that local transmission of a virus blamed for birth defects is spreading, Florida officials said Friday.
-
www.ndtv.com
-
5 Fresh Cases Of Zika Detected In Tourist Hub Miami Beach
- Saturday August 20, 2016
- World News | Agence France-Presse
Five new cases of Zika have been found in the tourist hotspot of Miami Beach, signalling that local transmission of a virus blamed for birth defects is spreading, Florida officials said today.
-
www.ndtv.com
-
Global Database For Women Exposed To Zika
- Wednesday August 17, 2016
- World News | Agence France-Presse
Swiss doctors have asked thousands of colleagues worldwide to provide data for the first global registry of women exposed to Zika, the team's lead researcher said today.
-
www.ndtv.com
-
Second Zika Vaccine Trial Gets Under Way In US
- Thursday August 4, 2016
- World News | Agence France-Presse
US health authorities on Wednesday launched the second human trial of a vaccine against the mosquito-borne Zika virus, which can cause birth defects and is now spreading in the US and Latin America.
-
www.ndtv.com
-
Olympics: Bryan Brothers Withdraw From 2016 Rio Games
- Sunday July 31, 2016
- Written by Agence-France Presse
Bryan brothers did not specifically mention the Zika virus, a mosquito-borne illness that has been linked to birth defects and prompted a slew of big names to opt out of the Rio Games, that start on August 5
-
sports.ndtv.com
-
Paraguay Reports First Cases Of Microcephaly Linked To Zika
- Saturday July 30, 2016
- World News | Reuters
Paraguay has recorded its first two cases of babies born with the microcephaly birth defect associated with the Zika virus, health authorities in the South American country said on Wednesday.
-
www.ndtv.com
-
Zika Epidemic Should Fizzle Out Within 3 Years: Study
- Sunday July 24, 2016
- Health | Agence France-Presse
The outbreak of the mosquito-borne Zika virus, blamed for a surge in birth defects, has likely reached its peak in Latin America and the epidemic should be over within three years, researchers said on Thursday.
-
www.ndtv.com
-
2016 Rio Games: Eugenie Bouchard Battles Zika Fear Over Olympic Choice
- Wednesday July 20, 2016
- Written by Agence-France Presse
The mosquito-transmitted Zika virus causes severe illness and has been linked to birth defects, a factor causing Eugenie Bouchard the greatest concern
-
sports.ndtv.com
-
Zika Strain Linked To Birth Defect Not Found in Jaipur: Health Ministry
- Saturday November 3, 2018
- India News | Press Trust of India
An analysis of Zika virus strains collected from Jaipur has suggested that they do not have the known mutations linked to fetal microcephaly, a serious birth defect in newborns delivered by infected mothers, according to the Health Ministry.
-
www.ndtv.com
-
Thailand Considers Zika Tests For All Pregnant Women
- Monday October 3, 2016
- World News | Reuters
Thailand is considering testing all pregnant women for Zika, the health ministry said on Monday, following confirmation last week of its first known cases of microcephaly, a birth defect marked by small head size, linked to the Zika virus.
-
www.ndtv.com
-
Florida Expands Zika Zone In Miami Beach After 5 New Cases
- Saturday September 17, 2016
- Health | Reuters
State officials in Florida on Friday tripled the active Zika transmission zone in the trendy seaside community of Miami Beach after five new cases of the mosquito-borne virus believed to cause a severe birth defect were identified in the area.
-
www.ndtv.com
-
Tapeworm Drug Could Cure Zika Virus Infection
- Tuesday August 30, 2016
- Health | Indo-Asian News Service
Researchers have found some existing drug compounds -- including one already used as a treatment for tapeworm infection in humans -- that have the potential to both stop Zika from replicating in the body and from damaging the crucial fetal brain cells that lead to birth defects in newborns.
-
www.ndtv.com
-
Singapore Confirms First Case Of Locally Transmitted Zika Virus
- Sunday August 28, 2016
- Health | Reuters
Singapore has confirmed its first case of a locally-transmitted Zika virus, which has been linked to microcephaly, a rare birth defect, in Brazil, the health ministry said.
-
www.ndtv.com
-
All Donated Blood Should Be Tested For Zika Virus, Urges US
- Friday August 26, 2016
- World News | Agence France-Presse
All donated blood should undergo tests for the Zika virus, which can cause birth defects, US regulators said today, amid a mounting outbreak of the mosquito-borne virus in the United States.
-
www.ndtv.com
-
Study Shows Extent Of Brain Damage From Zika Infections
- Wednesday August 24, 2016
- World News | Reuters
A report released on Tuesday shows in graphic detail the kind of damage Zika infections can do to the developing brain - damage that goes well beyond the devastating birth defect known as microcephaly, in which the baby's head is smaller than normal.
-
www.ndtv.com
-
Five New Zika Cases In Tourist Hotspot Miami Beach
- Saturday August 20, 2016
- World News | Agence France-Presse
Five new cases of Zika have been found in tourist hotspot Miami Beach, signaling that local transmission of a virus blamed for birth defects is spreading, Florida officials said Friday.
-
www.ndtv.com
-
5 Fresh Cases Of Zika Detected In Tourist Hub Miami Beach
- Saturday August 20, 2016
- World News | Agence France-Presse
Five new cases of Zika have been found in the tourist hotspot of Miami Beach, signalling that local transmission of a virus blamed for birth defects is spreading, Florida officials said today.
-
www.ndtv.com
-
Global Database For Women Exposed To Zika
- Wednesday August 17, 2016
- World News | Agence France-Presse
Swiss doctors have asked thousands of colleagues worldwide to provide data for the first global registry of women exposed to Zika, the team's lead researcher said today.
-
www.ndtv.com
-
Second Zika Vaccine Trial Gets Under Way In US
- Thursday August 4, 2016
- World News | Agence France-Presse
US health authorities on Wednesday launched the second human trial of a vaccine against the mosquito-borne Zika virus, which can cause birth defects and is now spreading in the US and Latin America.
-
www.ndtv.com
-
Olympics: Bryan Brothers Withdraw From 2016 Rio Games
- Sunday July 31, 2016
- Written by Agence-France Presse
Bryan brothers did not specifically mention the Zika virus, a mosquito-borne illness that has been linked to birth defects and prompted a slew of big names to opt out of the Rio Games, that start on August 5
-
sports.ndtv.com
-
Paraguay Reports First Cases Of Microcephaly Linked To Zika
- Saturday July 30, 2016
- World News | Reuters
Paraguay has recorded its first two cases of babies born with the microcephaly birth defect associated with the Zika virus, health authorities in the South American country said on Wednesday.
-
www.ndtv.com
-
Zika Epidemic Should Fizzle Out Within 3 Years: Study
- Sunday July 24, 2016
- Health | Agence France-Presse
The outbreak of the mosquito-borne Zika virus, blamed for a surge in birth defects, has likely reached its peak in Latin America and the epidemic should be over within three years, researchers said on Thursday.
-
www.ndtv.com
-
2016 Rio Games: Eugenie Bouchard Battles Zika Fear Over Olympic Choice
- Wednesday July 20, 2016
- Written by Agence-France Presse
The mosquito-transmitted Zika virus causes severe illness and has been linked to birth defects, a factor causing Eugenie Bouchard the greatest concern
-
sports.ndtv.com