Bmj Case Reports
-
{
- All
- News
-
Research Reveals "Headspin Hole": A Hidden Risk Of Breakdancing
- Saturday October 12, 2024
- World News | Edited by NDTV News Desk
A case report in the BMJ details the first known case of the “breakdance bulge” – a benign tumour on the scalp, caused by the repeated friction and pressure exerted during headspins.
-
www.ndtv.com
-
When A British Man Blew A Hole In His Throat After Holding In A Sneeze
- Monday August 14, 2023
- Science | Edited by Anjali Thakur
He started to have strange symptoms including painful swallowing, a change in his voice, and a popping sensation and swelling in his neck.
-
www.ndtv.com
-
Dentures Were Stuck In A Man's Throat. It Was Detected A Week Later
- Tuesday August 13, 2019
- World News | Agence France-Presse
This is the story of a 72-year old retired electrician in Britain -- let's call him "Jack" -- who forgot to tell his surgeon that he wore dentures.
-
www.ndtv.com
-
Woman's Contact Lens Found In Her Eye After 28 Years, Internet Horrified
- Friday August 17, 2018
- Offbeat | Sanya Jain
A British woman who went to the doctor for a cyst in her left eye was shocked when they discovered a 28-year-old contact lens in her eye.
-
www.ndtv.com
-
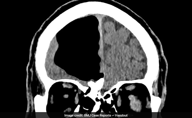
Doctors Find Air Pocket Where Part Of Man's Brain Should Be
- Tuesday March 13, 2018
- World News | Amy B Wang, The Washington Post
The 84-year-old man arrived in the emergency room with complaints that weren't uncommon for a patient his age. He had reported feeling unsteady over the past several months, culminating in repeated falls in recent weeks. In the three days leading up to his hospital visit, his left arm and leg had noticeably weakened.
-
www.ndtv.com
-
Piece Of Dental Braces Found In Woman's Stomach After 10 years
- Friday August 11, 2017
- DoctorNDTV
A 30 year old Australian woman complained of severe stomach pains, BMJ Case Reports wrote in a medical article on Monday. It was later found that she had a small piece of orthodontic wire removed from her intestines 10 years after she had her dental braces removed.
-
doctor.ndtv.com
-
Tooth Flossing Leads to Knee Infection in US Woman
- Tuesday August 25, 2015
- World News | Press Trust of India
In a rare medical condition, a woman in the US got a nasty bacterial infection in her prosthetic knee due to her vigorous tooth flossing regimen.
-
www.ndtv.com
-
Research Reveals "Headspin Hole": A Hidden Risk Of Breakdancing
- Saturday October 12, 2024
- World News | Edited by NDTV News Desk
A case report in the BMJ details the first known case of the “breakdance bulge” – a benign tumour on the scalp, caused by the repeated friction and pressure exerted during headspins.
-
www.ndtv.com
-
When A British Man Blew A Hole In His Throat After Holding In A Sneeze
- Monday August 14, 2023
- Science | Edited by Anjali Thakur
He started to have strange symptoms including painful swallowing, a change in his voice, and a popping sensation and swelling in his neck.
-
www.ndtv.com
-
Dentures Were Stuck In A Man's Throat. It Was Detected A Week Later
- Tuesday August 13, 2019
- World News | Agence France-Presse
This is the story of a 72-year old retired electrician in Britain -- let's call him "Jack" -- who forgot to tell his surgeon that he wore dentures.
-
www.ndtv.com
-
Woman's Contact Lens Found In Her Eye After 28 Years, Internet Horrified
- Friday August 17, 2018
- Offbeat | Sanya Jain
A British woman who went to the doctor for a cyst in her left eye was shocked when they discovered a 28-year-old contact lens in her eye.
-
www.ndtv.com
-
Doctors Find Air Pocket Where Part Of Man's Brain Should Be
- Tuesday March 13, 2018
- World News | Amy B Wang, The Washington Post
The 84-year-old man arrived in the emergency room with complaints that weren't uncommon for a patient his age. He had reported feeling unsteady over the past several months, culminating in repeated falls in recent weeks. In the three days leading up to his hospital visit, his left arm and leg had noticeably weakened.
-
www.ndtv.com
-
Piece Of Dental Braces Found In Woman's Stomach After 10 years
- Friday August 11, 2017
- DoctorNDTV
A 30 year old Australian woman complained of severe stomach pains, BMJ Case Reports wrote in a medical article on Monday. It was later found that she had a small piece of orthodontic wire removed from her intestines 10 years after she had her dental braces removed.
-
doctor.ndtv.com
-
Tooth Flossing Leads to Knee Infection in US Woman
- Tuesday August 25, 2015
- World News | Press Trust of India
In a rare medical condition, a woman in the US got a nasty bacterial infection in her prosthetic knee due to her vigorous tooth flossing regimen.
-
www.ndtv.com