Deadly Fungus
- All
- News
- Videos
-
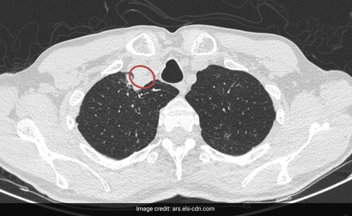
Deadly "Pharaoh's Curse" Fungus Can Help Fight Cancer, New Study Finds
- Monday June 23, 2025
- Feature | Edited by Srishti Singh Sisodia
The researchers studied many strains of Aspergillus flavus and found that they might contain more of the chemicals.
-
www.ndtv.com
-
Deadly Fungus Could Kill Millions In Asia, Europe And The Americas, Study Warns
- Monday May 5, 2025
- World News | Edited by Abhinav Singh
The study warned that the world was approaching a "tipping point" where the spread of fungal pathogens could become the norm.
-
www.ndtv.com
-
Kolkata Man Infected By Killer Plant Fungus In World's First Case
- Friday March 31, 2023
- India News | Edited by Nikhil Pandey
The patient, a professional plant mycologist, had spent a considerable amount of time working with decaying material, mushrooms, and various plant fungi.
-
www.ndtv.com
-
Steady Rise In Maharashtra Black Fungus Infections; Most In Nagpur, Pune
- Monday June 28, 2021
- India News | Edited by Sumana Nandy
Maharashtra, one of the worst affected states by the coronavirus, is now battling with the deadly Black Fungus infections which targets Covid patients with co-morbidities like diabetes and is dangerous, even after one recovers from Covid.
-
www.ndtv.com
-
Doctors Flag Medicine Shortage As Bihar Records Over 400 Black Fungus Cases
- Saturday June 5, 2021
- India News | Reported by Manish Kumar, Edited by Stela Dey
Cases of the deadly Black Fungus are on the rise in Bihar with the state government confirming there have been more than 400 infections. So far, 39 people have died due to the disease.
-
www.ndtv.com
-
Nepal Reports First Death Due To Black Fungus
- Friday June 4, 2021
- World News | Agence France-Presse
Nepal has reported its first death from mucormycosis or "black fungus", the highly deadly infection affecting thousands of coronavirus patients in neighbouring India.
-
www.ndtv.com
-
Supply Of Anti-Fungul Drug To Treat Black Fungus Being Ramped Up: Centre
- Saturday May 22, 2021
- India News | ANI
Amid the rising cases of Mucormycosis, or Black Fungus, the Union Health Ministry on Saturday said the availability of Amphotericin-B, the key drug to treat the deadly disease is now being increased.
-
www.ndtv.com
-
What Is Black Fungus And Why Are Cases Up In India: What We Know So Far
- Friday May 21, 2021
- India News | Agence France-Presse
Several thousand coronavirus patients in India have contracted a deadly and aggressive fungal infection, compounding the country's troubles as it reels from the pandemic.
-
www.ndtv.com
-
Deadly 'Black Fungus' In Covid Patients In India: 10 Facts
- Monday May 10, 2021
- India News | Edited by Debanish Achom (with inputs from agencies)
The government has told doctors to look out for signs of mucormycosis or "black fungus" in COVID-19 patients as hospitals report a rise in cases of the rare but potentially fatal infection.
-
www.ndtv.com
-
Mucormycosis: The Deadly 'Dark Fungus' Threatening India's Covid Patients
- Monday May 10, 2021
- India News | Edited by Harish Pullanoor
The COVID-19 pandemic in India has catalysed a fungal infection into a dangerous disease disfiguring scores -- when it is not fatal. So much so that the country's top medical research body has come out with an advisory on its screening and diagnosis.
-
www.ndtv.com
-
Mysterious, Killer Fungus Spread Rampantly At US Hospital Covid Ward: Study
- Saturday January 9, 2021
- World News | Agence France-Presse
Dozens of people being treated for Covid-19 at a Florida hospital last summer became additionally infected with a mysterious, often deadly fungus called Candida auris, a US government study said Friday.
-
www.ndtv.com
-
Can You Identify What This Viral Pic Shows? Twitter Is Confused
- Monday June 15, 2020
- Offbeat | Sanya Jain
A picture that is going viral on Twitter appears to show a foot peeking out from beneath a log of wood. Can you identify what it actually features?
-
www.ndtv.com
-
New Way To Prevent Spread Of Deadly Fungus To Brain Identified
- Friday August 18, 2017
- DoctorNDTV
Scientists have discovered a way to stop a deadly fungal infection from hijacking the body's immune system and spreading to the brain. Researchers, including those from Universities of Sheffield in the UK and Harvard Medical School in the US, studied Cryptococcosis, a disease that infects humans and animals after breathing in airborne fungi.
-
doctor.ndtv.com
-
Deadly "Pharaoh's Curse" Fungus Can Help Fight Cancer, New Study Finds
- Monday June 23, 2025
- Feature | Edited by Srishti Singh Sisodia
The researchers studied many strains of Aspergillus flavus and found that they might contain more of the chemicals.
-
www.ndtv.com
-
Deadly Fungus Could Kill Millions In Asia, Europe And The Americas, Study Warns
- Monday May 5, 2025
- World News | Edited by Abhinav Singh
The study warned that the world was approaching a "tipping point" where the spread of fungal pathogens could become the norm.
-
www.ndtv.com
-
Kolkata Man Infected By Killer Plant Fungus In World's First Case
- Friday March 31, 2023
- India News | Edited by Nikhil Pandey
The patient, a professional plant mycologist, had spent a considerable amount of time working with decaying material, mushrooms, and various plant fungi.
-
www.ndtv.com
-
Steady Rise In Maharashtra Black Fungus Infections; Most In Nagpur, Pune
- Monday June 28, 2021
- India News | Edited by Sumana Nandy
Maharashtra, one of the worst affected states by the coronavirus, is now battling with the deadly Black Fungus infections which targets Covid patients with co-morbidities like diabetes and is dangerous, even after one recovers from Covid.
-
www.ndtv.com
-
Doctors Flag Medicine Shortage As Bihar Records Over 400 Black Fungus Cases
- Saturday June 5, 2021
- India News | Reported by Manish Kumar, Edited by Stela Dey
Cases of the deadly Black Fungus are on the rise in Bihar with the state government confirming there have been more than 400 infections. So far, 39 people have died due to the disease.
-
www.ndtv.com
-
Nepal Reports First Death Due To Black Fungus
- Friday June 4, 2021
- World News | Agence France-Presse
Nepal has reported its first death from mucormycosis or "black fungus", the highly deadly infection affecting thousands of coronavirus patients in neighbouring India.
-
www.ndtv.com
-
Supply Of Anti-Fungul Drug To Treat Black Fungus Being Ramped Up: Centre
- Saturday May 22, 2021
- India News | ANI
Amid the rising cases of Mucormycosis, or Black Fungus, the Union Health Ministry on Saturday said the availability of Amphotericin-B, the key drug to treat the deadly disease is now being increased.
-
www.ndtv.com
-
What Is Black Fungus And Why Are Cases Up In India: What We Know So Far
- Friday May 21, 2021
- India News | Agence France-Presse
Several thousand coronavirus patients in India have contracted a deadly and aggressive fungal infection, compounding the country's troubles as it reels from the pandemic.
-
www.ndtv.com
-
Deadly 'Black Fungus' In Covid Patients In India: 10 Facts
- Monday May 10, 2021
- India News | Edited by Debanish Achom (with inputs from agencies)
The government has told doctors to look out for signs of mucormycosis or "black fungus" in COVID-19 patients as hospitals report a rise in cases of the rare but potentially fatal infection.
-
www.ndtv.com
-
Mucormycosis: The Deadly 'Dark Fungus' Threatening India's Covid Patients
- Monday May 10, 2021
- India News | Edited by Harish Pullanoor
The COVID-19 pandemic in India has catalysed a fungal infection into a dangerous disease disfiguring scores -- when it is not fatal. So much so that the country's top medical research body has come out with an advisory on its screening and diagnosis.
-
www.ndtv.com
-
Mysterious, Killer Fungus Spread Rampantly At US Hospital Covid Ward: Study
- Saturday January 9, 2021
- World News | Agence France-Presse
Dozens of people being treated for Covid-19 at a Florida hospital last summer became additionally infected with a mysterious, often deadly fungus called Candida auris, a US government study said Friday.
-
www.ndtv.com
-
Can You Identify What This Viral Pic Shows? Twitter Is Confused
- Monday June 15, 2020
- Offbeat | Sanya Jain
A picture that is going viral on Twitter appears to show a foot peeking out from beneath a log of wood. Can you identify what it actually features?
-
www.ndtv.com
-
New Way To Prevent Spread Of Deadly Fungus To Brain Identified
- Friday August 18, 2017
- DoctorNDTV
Scientists have discovered a way to stop a deadly fungal infection from hijacking the body's immune system and spreading to the brain. Researchers, including those from Universities of Sheffield in the UK and Harvard Medical School in the US, studied Cryptococcosis, a disease that infects humans and animals after breathing in airborne fungi.
-
doctor.ndtv.com