A US emergency room doctor's Twitter post about the leading cause of death among American children has gone viral. The post: an X-Ray scan of a bullet lodged in a child's chest.
The picture was shared a day after six people, including three children, were shot dead in a Nashville school by a 28-year-old former student. The latest in an epidemic of deadly mass gun violence, Audrey Hale tore through The Covenant School, a Christian academy armed with at least two assault rifles and a handgun.
She killed three children, two aged nine and an eight-year-old. Hale, who was shot dead by the police, carefully planned the attack on the elementary school, leaving behind maps and a manifesto.
A child weeps while on the bus leaving The Covenant School, following a mass shooting at the school in Nashville, Tennessee.
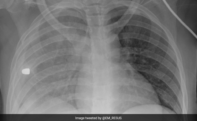
"Here's the chest X-Ray of a young girl suffering from a condition that is now the #1 cause of death in children and adolescents in the US. What's the diagnosis?" Emergency Room doctor Sam Ghali captioned the image of a child's scan. The post has been liked by over seven million people.
Responding to the post, a pediatric emergency physician working in Australia said that he has never seen a gunshot wound in a child.
"I have NEVER seen a gunshot wound in a child, and have not seen a gunshot wound in anyone for over 20 years. This cause of death is the result of "choices" by politicians and the people they represent," he wrote.
Firearm-related injuries surpassed motor vehicle crashes in 2020 to become the leading cause of death among people aged 1 to 19 years in the United States, according to the US Department of Health and Human Services.
Children run past an ambulance near The Covenant School after the Nashville school shooting
School shootings are alarmingly common in the United States, where the proliferation of firearms has soared in recent years. There have been 129 mass shootings -- defined as incidents in which four or more people were shot or killed -- so far this year, according to data from the Gun Violence Archive.
President's Biden's calls for Congress to reinstate the national ban on assault rifles, which existed from 1994 to 2004, have run up against opposition from Republicans, who are staunch defenders of the constitutional right to bear arms and have had a narrow majority in the House of Representatives since January.
The deadlock in Washington has come despite public uproar over high-profile massacres such as the one at Sandy Hook elementary school in Connecticut in 2012, when 26 people, including 20 children, were killed.
(With inputs from AFP)














