A British man injured his throat because he held in a powerful sneeze. According to a paper published in BMJ Case Reports in 2018, a 34-year-old man attempted to suppress a sneeze by clamping his mouth shut and blocking both nostrils, but the force of the sneeze ruptured his throat.
The paper titled "Snap, crackle, and pop: when sneezing leads to crackling in the neck" claimed that the man "tried to halt a sneeze by pinching the nose and holding his mouth closed."
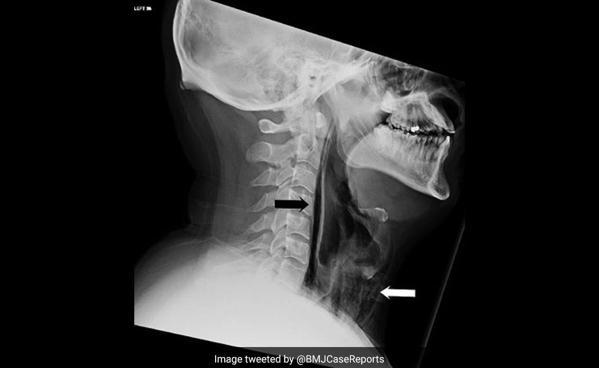
He started to have strange symptoms including painful swallowing, a change in his voice, and a popping sensation and swelling in his neck. He decided to seek medical attention.
The doctors said that streaks of air had become trapped in some of his throat tissue and ruptured his throat. Spontaneous rupture of the pharynx is very rare, usually caused by vomiting, retching, heavy coughing or some kind of trauma.
The man was taken under medical observation to further avoid the risk or progression of any deep neck infection. The patient was given a feeding tube and antibiotics. He recovered after two weeks and started eating soft foods.
"Halting sneeze via blocking nostrils and mouth is a dangerous manoeuvre and should be avoided," the authors wrote.
"It may lead to numerous complications, such as pseudomediastinum [air trapped in the chest between both lungs], perforation of the tympanic membrane [perforated eardrum], and even rupture of a cerebral aneurysm [ballooning blood vessel in the brain]."






_625x300_1529047966012.jpg?downsize=160:120)







