A top European health official warned Friday that cases of the rare monkeypox virus could accelerate in the coming months, as the virus has spread to at least eight European countries.
WHO regional director for Europe Hans Kluge said that "as we enter the summer season... with mass gatherings, festivals and parties, I am concerned that transmission could accelerate".
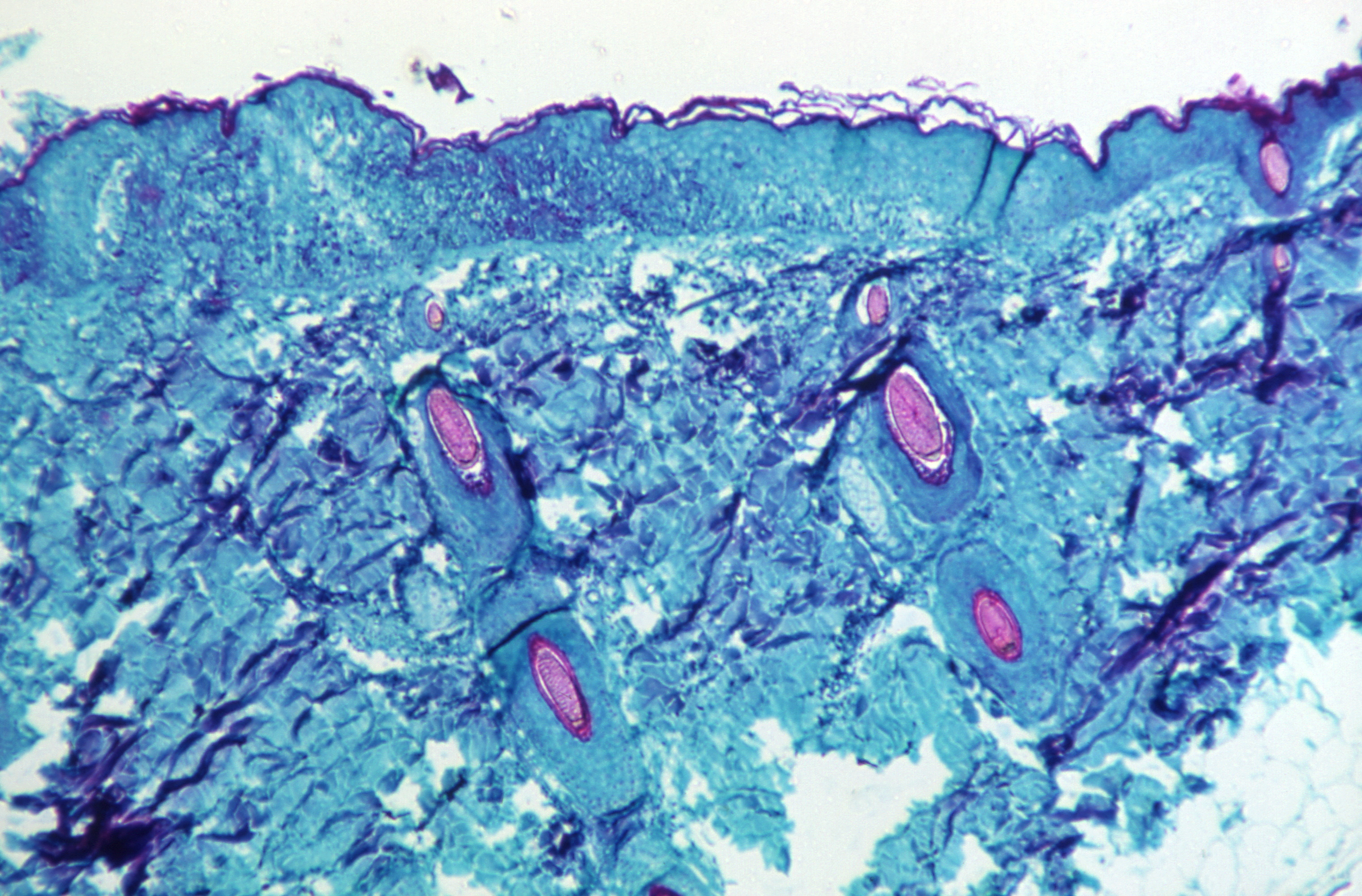
The virus, which causes distinctive pustules but is rarely fatal, has previously been seen in central and west Africa.
But over recent weeks cases have been detected in European countries including Portugal and Sweden as well as the United States, Canada and Australia, Kluge said, calling the spread "atypical".
"All but one of the recent cases have no relevant travel history to areas where monkeypox is endemic," he added.
The health official warned that transmission could be boosted by the fact that "the cases currently being detected are among those engaging in sexual activity", and many do not recognise the symptoms.
Most initial cases have been among men who have sex with men and sought treatment at sexual health clinics, Kluge said, adding "this suggests that transmission may have been ongoing for some time".
The World Health Organization (WHO) has said it is investigating the fact that many cases reported were people identifying as gay, bisexual or men who have sex with men.
The official's statement came as France, Belgium and Germany reported their first cases of monkeypox and Italy confirmed it now had three linked cases of the disease.
French authorities said the virus had infected 29-year-old man living in the area that includes Paris, while Belgium said that it had confirmed two cases, including a man in the Flemish Brabant region.
UK health officials on Friday reported 11 more confirmed cases in England, taking its total to 20.
'Increase In Coming Days'
The UK Health Security Agency's chief medical adviser, Susan Hopkins, said she expected "this increase to continue in the coming days and for more cases to be identified in the wider community".
She particularly urged gay and bisexual men to look out for symptoms, saying a "notable proportion" of cases in the UK and Europe came from this group.
Monkeypox had not previously been described as a sexually transmitted infection, the UKHSA said.
It can be transmitted through contact with skin lesions and droplets of a contaminated person, as well as shared items such as bedding and towels.
UK Health Secretary Sajid Javid sought to reassure the public, tweeting: "Most cases are mild and I can confirm we have procured further doses of vaccines that are effective against monkeypox."
Symptoms of the disease include fever, muscle aches, swollen lymph nodes, chills, exhaustion and a chickenpox-like rash on the hands and face.
The first UK case was announced on May 7, in a patient who had recently travelled to Nigeria.
Two more cases were reported a week later, in people in the same household. They had no link to the first case.
The UKHSA said that four further cases announced May 16 all identified as gay, bisexual or other men who have sex with men and appeared to have been infected in London.
It said two new cases reported on May 18 also had no history of travel to countries where the virus is endemic and "it is possible they acquired the infection through community transmission".
It did not give any details of the latest cases reported Friday.
On Thursday, health authorities in Italy announced the country's first case of monkeypox, in a young man recently returned from the Canary Islands.
On Friday they said two further cases, linked to "patient zero", had been confirmed.
Monkeypox usually clears up after two to four weeks, according to the WHO.
(Except for the headline, this story has not been edited by NDTV staff and is published from a syndicated feed.)














